



¿Qué son los implantes dentales?
¿Quién puede ser un buen candidato para los implantes dentales?
¿En qué consiste el procedimiento quirúrgico ?
IMPLANTES DENTALES
¿Qué son los implantes dentales?

Para lograr que el hueso se integre al titanio, a lo que se llama Oseointegración, los implantes deben de permanecer en el hueso sin ninguna función o carga durante varias semanas, antes de que sea colocada la restauración final.
Una vez que se han integrado, los implantes ofrecen un anclaje excelente para cualquier tipo de rehabilitación; coronas, puentes o dentaduras; ofreciendo a los pacientes una condición cómoda y funcional, mucho mejor que cualquier otro tipo de rehabilitación convencional.
¿Quién puede ser un buen candidato para los implantes dentales?
Se puede decir que casi cualquier paciente puede ser candidato, hay tan sólo unas pocas condiciones que son consideradas contraindicaciones temporales para llevar a cabo los procedimientos quirúrgicos necesarios para la colocación de los implantes, como por ejemplo: infecciones agudas o enfermedades crónicas no controladas como la diabetes, pero una vez que el paciente ha sido controlado se puede llevar a cabo la cirugía de implantes.
El candidato ideal para implantes dentales debe de tener una buena salud general y una buena salud oral, altura y grosor adecuados de hueso, al igual que una buena salud de encía, libre de enfermedad periodontal.
En relación a la edad, los pacientes seniles o de la tercera edad pueden ser buenos candidatos, no importando su edad, siempre y cuando se encuentren en buen estado de salud. No es recomendable colocar implantes en niños, es recomendable esperar a que hayan completado la mayor parte de su crecimiento facial, esto es en promedio a los 16 años
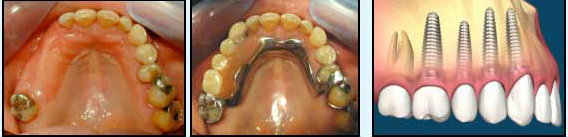
¿En qué consiste el procedimiento quirúrgico
Usando anestesia local, se corta la encía para exponer el área de hueso donde será colocado el o los implantes. Se usa una fresa especial para preparar el hueso y así poder recibir al implante. Finalmente, el implante es colocado y la encía suturada, esta sutura es retirada entre 7 y 10 días después de la intervención.
Existen casos donde hay poco estructura ósea y son necesarios procedimientos de injerto de hueso.
Proceso de cicatrización – Oseointegración
El proceso de oseointegración se lleva normalmente entre 3 y 5 meses, es el tiempo en el que el hueso se integra al material de titanio.

El poste de titanio se convertirá en el soporte de la nueva corona o dentadura. Los nuevos dientes se verán y sentirán naturales, como sus propios dientes, ya sea que sean coronas fijas o dentaduras sobre implantes.
Diferentes tipos de Prótesis:
Con los implantes dentales podemos:
Reemplazar uno o más dientes sin afectar alos dientes vecinos
¿Es doloroso?
No. Los tejidos involucrados (hueso y encía) en el procedimiento quirúrgico para colocar implantes no son muy sensibles. Ni durante el procedimiento en la silla dental ni los días posteriores el paciente presenta dolor, es muy común que el paciente no requiera el analgésico que se le prescribe.
La inflamación es muy común, pero puede ser controlada por algunos medicamentos y por el uso de hielo después de la intervención en la zona afectada
¿Es caro?
A corto plazo, la terapia con implantes es más cara en comparación con otras formas de rehabilitación, pero a largo plazo, considerando los beneficios de comodidad, funcionalidad y prevención de pérdida de hueso, la terapia con implantes es igual o más barata que las terapias convencionales.
¿Cuánto duran los implantes dentales?
Se considera que los implantes puedan durar para siempre, pero esto depende de algunos factores tales como el cuidado e higiene del paciente y la asiduidad de los pacientes a sus citas de revisión. Si los pacientes tienen buen cuidado, se espera que los implantes se mantengan por el resto de sus vidas. Es importante considerar que las prótesis que se colocan sobre los implantes tengan que ser cambiadas o renovadas por diferentes razones y en períodos diferentes.
¿Cuáles son los índices de éxito o fracaso?
Hay una enorme cantidad de información que muestra que el titanio usado para los implantes es seguro y altamente biocompatible (no causa ninguna reacción inflamatoria o alérgica y no es cancerígeno). El rechazo inmunológico es muy improbable.
El índice promedio de éxito reportado es de cerca del 98%. Éxito significa un implante bien integrado, sin movilidad, con su restauración en función y un paciente sin problema o molestia.
Los fumadores pueden tener hasta un 20% menos de probabilidad de éxito que los no fumadores en lo que a terapia con implantes se refiere.
Como podrá usted ver, la terapia con implantes es muy predecible y se considera actualmente como la mejor manera de sustituir uno o más dientes perdidos.
Habiendo considerado los beneficios de los implantes dentales, tenemos que reconocer que no hay ningún sustituto mejor que un diente natural, Don Quijote de la Mancha le dijo a Sancho Panza: “Un diente es más valioso que un diamante”
¿Cómo puedo cuidar a los implantes dentales?
Es muy importante que el paciente se le de una instrucción acerca de los cuidados y limpieza con las herramientas adecuadas para siempre mantener a las superficies de los implantes y a las prótesis libres de bacterias.
Ya que cada caso es distinto, los instrumentos y técnicas recomendadas pueden ser diferentes en cada caso. La salud de la encía depende de un ambiente libre de bacterias. El hilo dental poroso es una de las herramientas recomendadas para los pacientes con implantes dentales.
Injertos y regeneración de hueso
En muchos casos nos encontramos con situaciones con hueso insuficiente para los implantes planeados, así que en esos casos son necesarios procedimientos regenerativos para obtener suficiente hueso para un buen anclaje del implante.
Estos procedimientos se refieren a injertos de hueso en zonas de conflicto.
En la mayoría de los casos, estos injertos se pueden hacer en la misma sesión de la colocación de implantes dentales, pero hay casos donde el paciente no tiene suficiente hueso para estabilizar al implante y es ahí donde está indicada una primera etapa de regeneración sin la colocación de implantes, para esos casos se requiere un período de espera de 4 a 7 meses, para lograr un hueso en cantidad y calidad donde los implantes puedan ser anclados.
Hay una enorme variedad de materiales de injerto, cada uno con diferentes indicaciones. Hay materiales nuevos probados científicamente que si se usan con la técnica adecuada se obtienen resultados muy exitosos.


